TMS (transcranial magnetic stimulation) is designed to help people who suffer most from depression to start feeling better again.
of Patients
See Improvement
Million
Treatments Administered
of Patients
Reach Remission
"I’m a better person for having Timandra in my corner. She is patient, kind, and insightful. After a visit with her my wife says I treat her better. Timandra has helped me reach towards the future by grabbing the next bar and at the same time letting go of the one behind me. She has helped me focus on what’s important and to set better priorities. I look forward to my visits with her and the time goes by too quickly."
- Gordon
"Timandra has been great at helping me navigate through our sessions together in all areas of my life. Has been patient and considerate with helping me feel comfortable to share and dive deeper into past hurts and work those out to become a better person."
- Josh
"I have known and worked with Dave Allred for many years. He is a wonderful and caring therapist who has the ability to help people with many different struggles by adjusting and adapting his therapeutic approaches to their needs. I would recommend him to anyone looking for a fantastic blend of skill and interpersonal support."
- Ken
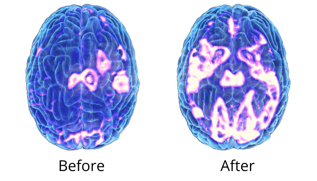
Transcranial Magnetic Stimulation uses strong, magnetic pulses distributed through a coil
to regulate the neural activity of brain structures associated with depression.


While you may feel slight pressure on top of your head, most patients adapt to the sensation after just a couple of sessions.

Rest assured, you do not have to start a new medication regimen throughout TMS.

An analysis of 1,753 patients showed that the average patient achieved a sustained response after just 16 treatments.
About 83% of patients who complete a full course of TMS show a clinically meaningful response and about 62% experience a remission, meaning their symptoms go away completely.
Sessions are about 20 minutes and you can drive to and from your appointments. The full course covered by insurance usually takes about 6-8 weeks to complete.
At this time, we offer TMS treatment on a self-pay basis only. We do not accept insurance for TMS services. Our team is happy to provide information on pricing and payment options, and we’ll work with you to make the process as smooth as possible.

Schedule
Call the office, fill out a form, or book directly to request a consultation.

Meet
We'll talk through your medical history and symptoms. You'll receive a personalized treatment plan, with insurance approval before starting.

Map
During your first session, we determine device position to ensure the most effective treatment for you. This process is known as "mapping".

Treat
Relax during treatment. After each session, you'll be able to resume your daily routine immediately.

As a Board-Certified Psychiatric Nurse Practitioner (PMHNP), I specialize in providing prescribed medications as part of comprehensive psychiatric care for individuals of all ages. My training and experience allow me to address a wide range of psychiatric concerns with personalized, evidence-based treatment plans. I work closely with clients to ensure treatments are tailored to each person’s unique needs and goals. I have treated clients ages 4 to 82, and my approach is rooted in understanding the social, emotional, and developmental factors that influence mental health. I focus on creating collaborative relationships where clients feel heard and supported in their mental health journey. My Master’s Thesis at the University of Utah provided an opportunity to focus on Complementary and Alternative Medicines (CAM) for psychiatric conditions, and I continue to explore ways to integrate holistic practices into mental health care. I am also a Qualified Marijuana Provider (QMP), certified to prescribe medicinal marijuana for conditions like chronic pain and PTSD and refer to specialized EMDR therapist to support a complete range of services. Whether you are struggling with inattentiveness, insomnia, compulsive behaviors, anxiety, psychosis, poor motivation, racing thoughts, mood changes after a concussive injury, you name it, I am here to help. Together, we can explore the impact of these challenges and create a clear, purposeful plan for moving forward.
